Публикатор

Ивановские онкохирурги выполнили сложнейшую панкреатодуоденальную резекцию!

Материал опубликован: 12 марта 2026, 14:21

Обновлён: 12 марта 2026, 14:24

Просмотров: 62

В отделе торакоабдоминальной онкохирургии ИвООД успешно выполнено очередное вмешательство высокого уровня сложности - панкреатодуоденальная резекция. Каждая такая операция - значимая победа над одной из самых агрессивных болезней, раком поджелудочной железы.

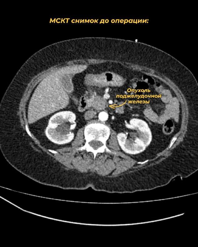
Пациентка 69 лет заметила пожелтение кожных покровов и обратилась к врачу по месту жительства. Далее она была направлена в онкодиспансер с подозрением на опухоль головки поджелудочной железы. На первом этапе врачами отделения рентгенхирургических методов диагностики и лечения ИвООД Арсентьевым Д.В. и Сусловым Д.А. была устранена угроза жизни - желтуха. Под местным обезболиванием доктора успешно выполнили дренирование внутрипеченочных желчных протоков. Вскоре после этого на мультидисциплинарном консилиуме было проведено обсуждение тактики дальнейшего лечения пациентки.

Параллельно с лечением в Ивановском онкодиспансере пациентка самостоятельно обратилась за вторым мнением в одну из клиник столицы, где опухоль была признана неоперабельной и были даны рекомендации проводить химиотерапию. Но, основываясь на собственном опыте и мировой статистике, ивановские хирурги придерживались другого мнения. Повторно выполнив КТ и тщательно проанализировав его с построением 3D-реконструкций сосудов, врачи не нашли препятствий для радикальной хирургии и предложили пациентке операцию. Дело в том, что именно хирургическое лечение является основным при резектабельном раке поджелудочной железы, а лекарственный метод применяется в большинстве случаев после радикальной операции как мера профилактики рецидива.

Хирургическая бригада:

  • к.м.н., заведующий отделом торакоабдоминальной онкохирургии Владимир Александрович Суворов
  • к.м.н., заместитель главного врача по лечебной и хирургической работе Валентин Валериевич Алексеев
  • онколог-хирург отделения торакоабдоминальной онкохирургии Вугар Рафигович Новрузов
  • анестезиолог Полетаев Василий Александрович
  • операционная сестра Гоннова Анастасия
  • медицинская сестра-анестезист Бекасова Мария

Панкреатодуоденальная резекция длилась около 7 часов, выполнена в полном объеме, радикально. Это была 15-я совместная ПДР отдела после его формирования в Иваново. Интраоперационных и послеоперационных осложнений нет. Пациентка выписана к своим близким.

«Я очень благодарна нашим докторам. Замечательные врачи. Не стесняйтесь, не бойтесь, обращайтесь. Врачи очень внимательные», - отзывается пациентка о своем опыте лечения.
Данный случай демонстрирует важность мультидисциплинарного подхода и командной работы в рамках специализированного онкологического учреждения. Компетенции отдела торакоабдоминальной онкохирургии ИвООД позволяют выполнять вмешательства высшей категории сложности пациентам Ивановской области.

Для записи к нашим врачам обращайтесь по телефону: 8(800)200-65-32.